1 Hospital: 35 kids had CHEST PAIN & HEART ATTACK symptoms 3 days after PFIZER poison
The Prisoner
10207 followers
Follow
3
342 views • April 17, 2022
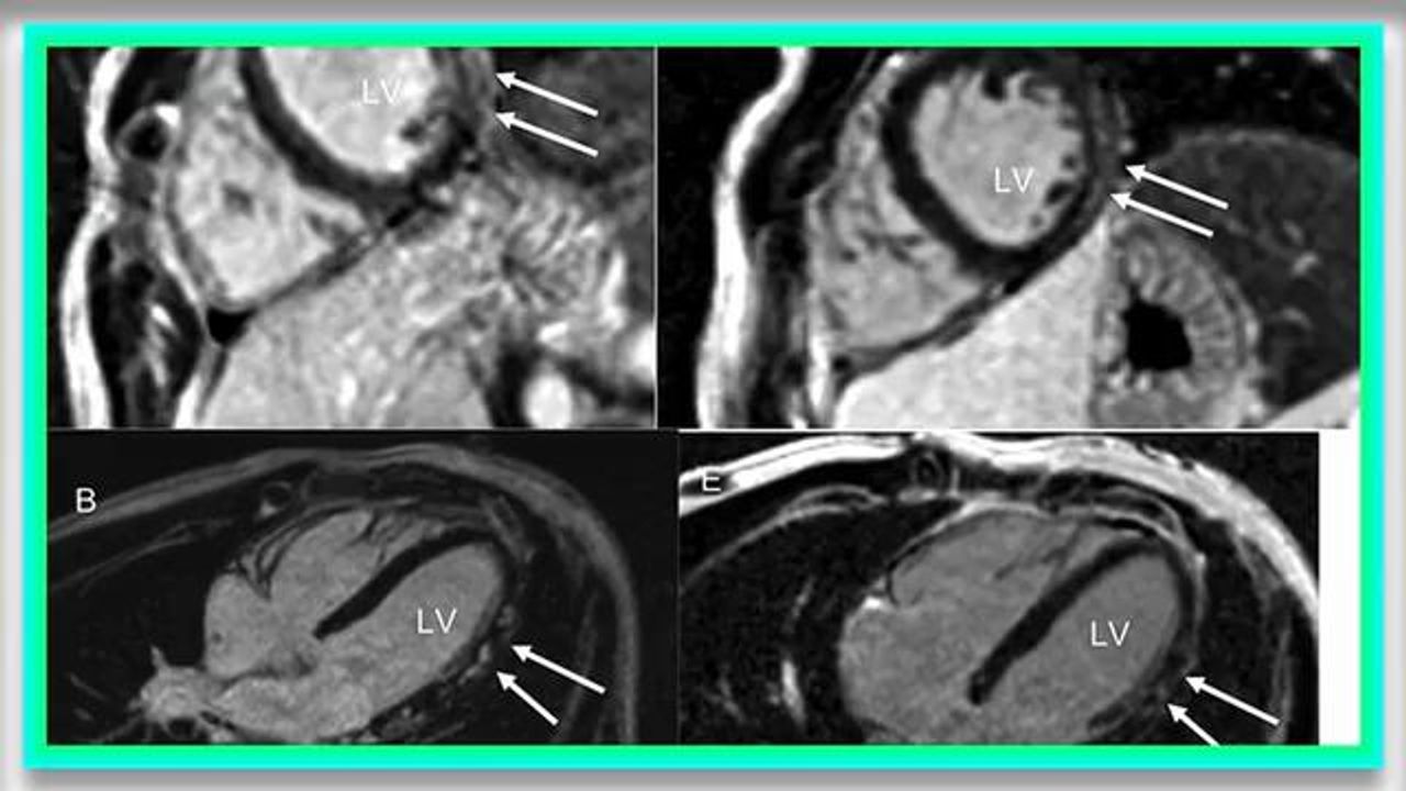
Myopericarditis, has emerged as an important adverse event following COVID-19 mRNA vaccination, particularly in adolescents [[1]]. Patients typically exhibit chest pain and an elevated serum troponin level in the days following the COVID-19 mRNA vaccine. They usually are hemodynamically stable, and symptoms and cardiac biomarkers normalize within a few days [[2]]. cardiac magnetic resonance studies, when performed early, frequently demonstrate abnormalities such as edema and late gadolinium enhancement (LGE), meeting Lake Louise Criteria for diagnosing myocarditis noninvasively [[2],[3]]. In classical myocarditis LGE can be predictive of a poor outcome [[5]]. Little is known about the prognostic value or expected evolution of these CMR abnormalities associated with post-COVID-19 mRNA vaccine myopericarditis. In this case series we report the evolution of CMR imaging compared with initial, acute phase, CMR in our cohort of patients with myopericarditis post COVID-19 mRNA vaccine.
SOURCES:
https://www.jpeds.com/article/S0022-3476(22)00282-7/fulltext#relatedArticles
https://t.me/s/Doctorsforcovidethics

Mirrored - Boot Camp
Keywords
FREE email alerts of the most important BANNED videos in the world
Get FREE email alerts of the most important BANNED videos in the world that are usually blacklisted by YouTube, Facebook, Google, Twitter and Vimeo. Watch documentaries the techno-fascists don't want you to know even exist. Join the free Brighteon email newsletter. Unsubscribe at any time. 100% privacy protected.
Your privacy is protected. Subscription confirmation required.