© Brighteon.com All Rights Reserved. All content posted on this site is commentary or opinion and is protected under Free Speech. Brighteon is not responsible for comments and content uploaded by our users.
More info Substack: https://terral.substack.com/. Download a recent Black Star Report Newsletter and Mystery Report Newsletter by visiting https://www.terral03.com. Message to BigMike at Brighteon: https://terral.substack.com/p/steve-quayle-issues-new-warning-about
--
Subject: Urgent: Magnetic Anomalies Predictive Signal — Request for Expert Review & Public Safety Response
https://terral.substack.com/p/subject-urgent-magnetic-anomalies
--
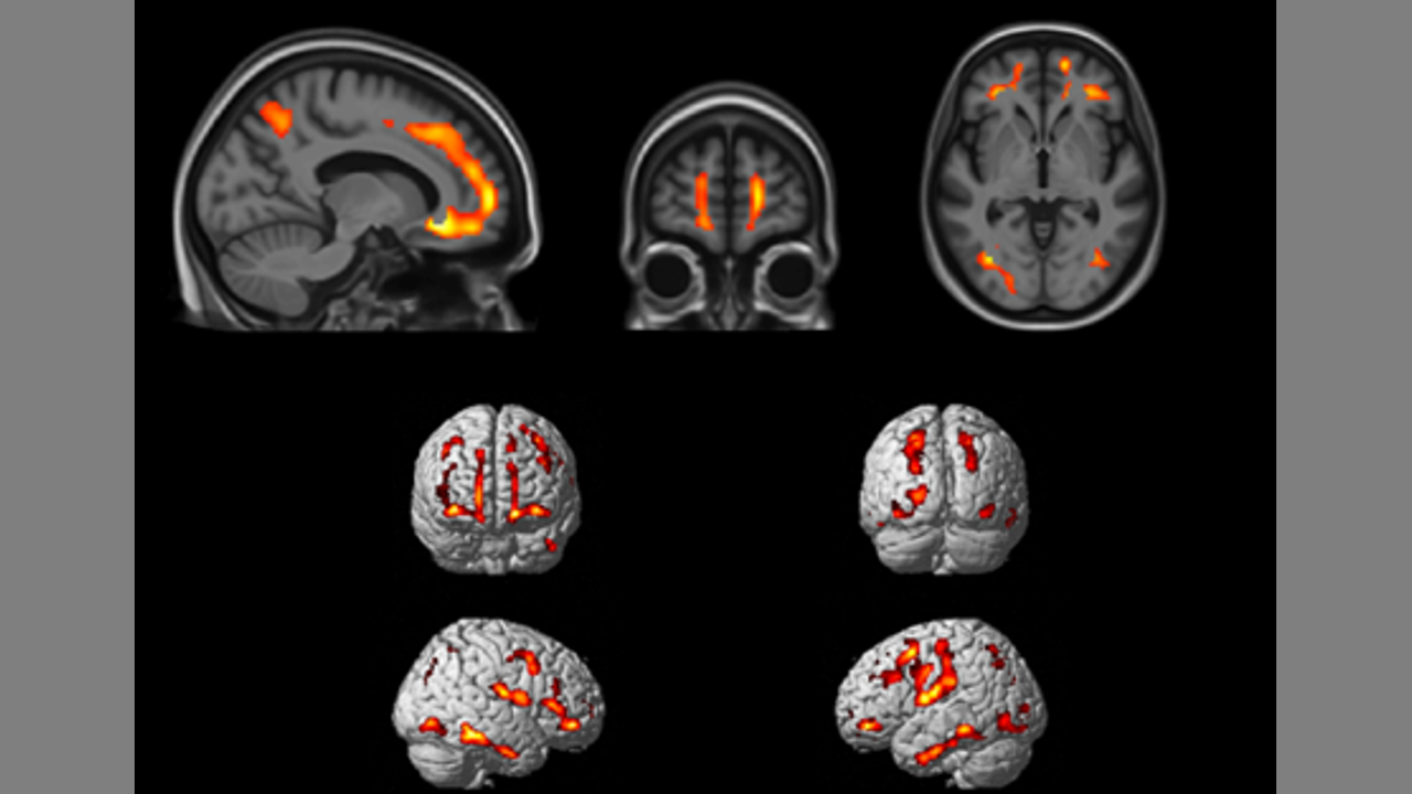
Mapping Brain Changes in Post-Covid-19 Cognitive Decline via FDG PET Hypometabolism and EEG Slowing
https://terral.substack.com/p/mapping-brain-changes-in-post-covid
--
Ancient Rome’s Migrant Crisis
https://www.armstrongeconomics.com/uncategorized/ancient-romes-migrant-crisis/
--
Redemption Shield (EMP Protection): https://redemptionshield.com/?ref=TERRALCROFT
--
Protect your house and vehicle from EMP attacks: https://www.empshield.com/?coupon=terral03com
--
Ozark Mountain Offgrid Has the KONG Big Battery Solutions
https://terral.substack.com/p/we-can-now-upgrade-our-kong-big-battery--
--
Get Your Food! https://www.mypatriotsupply.com/pages/homepage-62?_ef_transaction_id=&oid=1&affid=59
--
Get Your Silver-Gold for SHTF:
Visit Terral’s Miles Franklin Landing Page Website: https://milesfranklin.com/terral-croft-2/
https://terral.substack.com/p/meet-justin-wolk-dans-replacement
Justin Wolk: 952-213-8930. Email: [email protected].
Mention Terral Croft for discount
--
Bioweapon Threats:
Everyone Is Transfected: https://terral.substack.com/p/everyone-is-transfected-with-sophisticated
How to Mix, Use, and Store Your Nano Silver: https://terral.substack.com/p/how-to-purchase-mix-use-and-store
Earth Clinic: https://www.earthclinic.com/remedies/borax.html
Morgellons Disease: https://www.brighteon.com/f0038520-18a7-4fc8-b60a-bf68c81896e1
--
NASA Future Strategic Warfare 2025: https://stopthecrime.net/docs/nasa-thefutureof-war.pdf (Page 93)
--
None Dare Call It Conspiracy: https://www.resist.com/Onlinebooks/None_Dare_Call_It_Conspiracy.pdf
--
Dakota Report (Operations Section): http://www.citizeninvestigationteam.com/1/dakota_report_disinfo.pdf
--
Nano Silver: https://www.nanosilver.com.my/nano-tech-facts/what-is-nano-silver/
--
Nano Silver on Candida:
https://www.ncbi.nlm.nih.gov/pmc/articles/PMC4678641/
--
Colloidal Silver vs. Nano Silver: https://elementasilver.com/blog/colloidal-silver-vs-nano-silver/
--
Everyone subscribing, upgrading, and donating receives the eBook version of The Mystery Explained.
Mystery Report: https://www.youtube.com/channel/UCMq6IynWMl2RPb57ErfkKvA
More info at https://www.terral03.com
Contact Terral: [email protected]





