© Brighteon.com All Rights Reserved. All content posted on this site is commentary or opinion and is protected under Free Speech. Brighteon is not responsible for comments and content uploaded by our users.
Οι νεκροψίες εμβολιασμένων απέδειξαν την επικινδυνότητα των εμβολίων
83 followers
Follow
2
Share
Report
127 views • 12/19/2021
Στο δεύτερο διαδικτυακό συμπόσιο που οργάνωσε η επιστημονική ομάδα Doctors for COVID Ethics, ο Δρ Σουκαρίτ Μπακντί και ο Δρ Arne Burkhardt παρουσίασαν τα επιστημονικά δεδομένα που αποδεικνύουν ότι τα εμβόλια κατά της COVID-19 είναι:
1ον ΑΧΡΗΣΤΑ
2ον ΕΠΙΚΙΝΔΥΝΑ
Το ότι αυτά τα εμβόλια είναι άχρηστα αποδεικνύεται από τον ίδιο τον τρόπο που λειτουργεί το ανοσοποιητικό μας σύστημα. Συγκεκριμένα, τα εμβόλια που εισάγονται ενδομυϊκά ενεργοποιούν αντισώματα που κυκλοφορούν στη ροή του αίματος και δεν φτάνουν ποτέ στην αναπνευστική οδό, όπου “χτυπάει” ο κορωνοϊός. Η προστασία του οργανισμού από εισβολείς στο αναπνευστικό σύστημα γίνεται με άλλον μηχανισμό του ανοσοποιητικού, ο οποίος δεν μπορεί να ενεργοποιηθεί από τα συγκεκριμένα εμβόλια. Γι’ αυτό τα συγκεκριμένα σκευάσματα δεν μπορούν να αποτρέψουν τη μόλυνση από τον κορωνοϊό και τη μετάδοσή του, κάτι που πλέον είναι κοινώς παραδεκτό.
Ωστόσο, το mRNA των εμβολίων μεταφέρει στα κύτταρα οδηγίες για την κατασκευή της τοξικής πρωτεΐνης ακίδας του κορωνοϊού. Όταν τα κύτταρα αρχίζουν να παράγουν αυτήν την πρωτεΐνη, το ανοσοποιητικό μας την αναγνωρίζει ως ξένο, εχθρικό σώμα και τα φονικά Τ-λεμφοκύτταρα ενεργοποιούνται για να καταστρέψουν τα κύτταρα που την παράγουν.
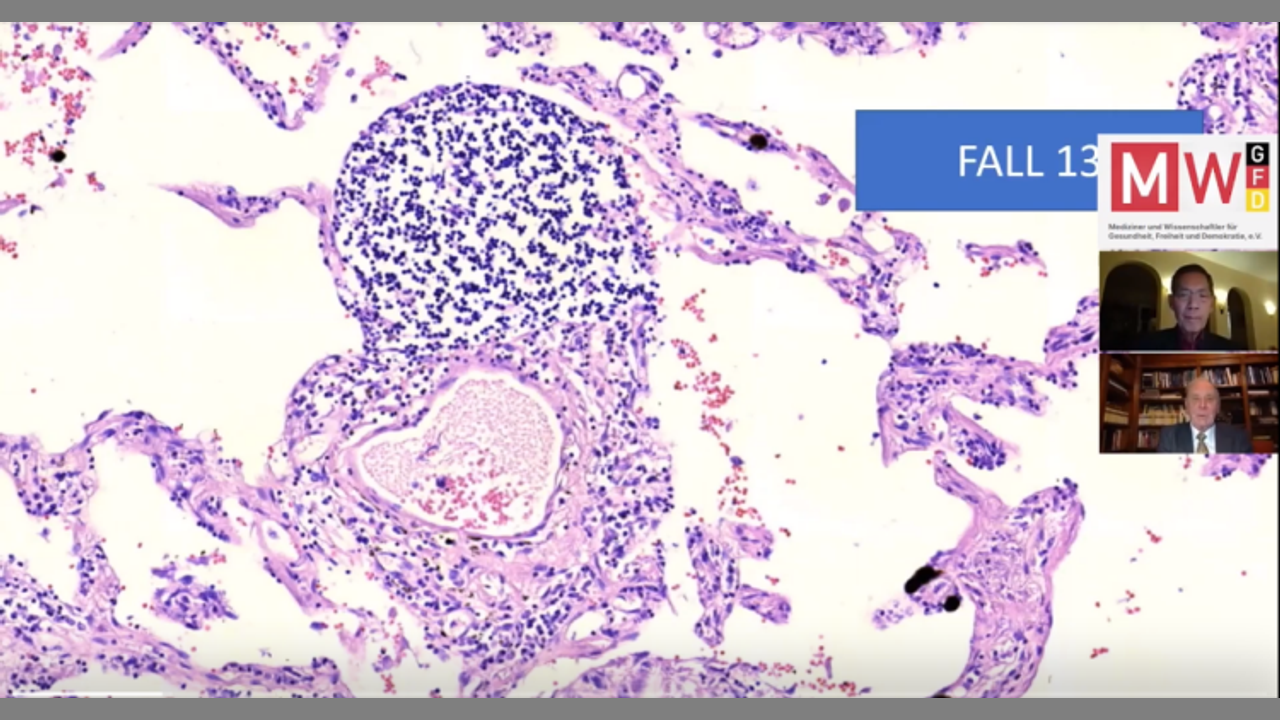
Η απόδειξη ότι τα γενετικά σκευάσματα κατά της COVID-19 προκαλούν πράγματι αυτήν την επικίνδυνη αντίδραση του ανοσοποιητικού σε όσους τα λαμβάνουν, έρχεται με τα ευρήματα των ιστοπαθολογικών εξετάσεων που πραγματοποίησε ο Δρ Arne Burkhardt, σε ασθενείς που απεβίωσαν μετά από τον εμβολιασμό τους, στο Ινστιτούτο Ιατροδικαστικής και το Ινστιτούτο Παθολογίας.
Οι μεταθανάτιες εξετάσεις έδειξαν χαρακτηριστικές αλλοιώσεις σε όργανα και ιστούς των ασθενών, οι οποίες προκλήθηκαν από μαζική επίθεση των Τ-λεμφοκυττάρων. Οι αλλοιώσεις αυτές συνέβησαν όσο τα άτομα ήταν εν ζωή και όχι μετά τον θάνατό τους και δεν είναι αποτέλεσμα μακρόχρονης νοσηλείας των θανόντων σε ΜΕΘ. Το πιο σημαντικό όμως, είναι ότι αυτές οι μαζικές επιθέσεις των Τ-λεμφοκυττάρων συνέβησαν ταυτόχρονα σε πολλά διαφορετικά όργανα, ένα φαινόμενο που δεν έχει παρατηρηθεί ποτέ ξανά στα ιατρικά χρονικά και γι’ αυτό δεν υπάρχει περιγραφή του στα ιατρικά εγχειρίδια. Συνεπώς, η μόνη λογική ερμηνεία, είναι ότι η αιτία αυτών των βλαβών είναι ο προηγούμενος εμβολιασμός των θανόντων με τα γενετικά σκευάσματα κατά της COVID-19.
Τα ευρήματα των νεκροψιών του Dr Burkhardt είναι η απόδειξη ότι όλες αυτές οι παρενέργειες που αναφέρονται μετά τον εμβολιασμό, και οι θάνατοι που προκαλούνται εξαιτίας τους, έχουν πράγματι την αιτία τους στη δράση του mRNA των εμβολίων. Μετά τη δημοσίευση αυτών των ευρημάτων, κανείς ευσυνείδητος γιατρός ή νοσηλευτής δεν δικαιολογείται να συνεχίζει αμέριμνα τους εμβολιασμούς, “πιστεύοντας” ότι κάνει κάτι καλό για τους ασθενείς του. Ο ιατρικός κόσμος οφείλει να ενημερωθεί και να πάρει θέση, αλλιώς θα βρεθεί υπόλογος για το μεγαλύτερο έγκλημα που έχει διαπραχθεί ποτέ στην ιστορία της ανθρωπότητας!
Ολόκληρο το συμπόσιο των Doctors for COVID Ethics μπορείτε να το παρακολουθήσετε εδώ: https://www.ukcolumn.org/video/doctors-for-covid-ethics-an-interdisciplinary-symposium-ii-sounding-the-call
1ον ΑΧΡΗΣΤΑ
2ον ΕΠΙΚΙΝΔΥΝΑ
Το ότι αυτά τα εμβόλια είναι άχρηστα αποδεικνύεται από τον ίδιο τον τρόπο που λειτουργεί το ανοσοποιητικό μας σύστημα. Συγκεκριμένα, τα εμβόλια που εισάγονται ενδομυϊκά ενεργοποιούν αντισώματα που κυκλοφορούν στη ροή του αίματος και δεν φτάνουν ποτέ στην αναπνευστική οδό, όπου “χτυπάει” ο κορωνοϊός. Η προστασία του οργανισμού από εισβολείς στο αναπνευστικό σύστημα γίνεται με άλλον μηχανισμό του ανοσοποιητικού, ο οποίος δεν μπορεί να ενεργοποιηθεί από τα συγκεκριμένα εμβόλια. Γι’ αυτό τα συγκεκριμένα σκευάσματα δεν μπορούν να αποτρέψουν τη μόλυνση από τον κορωνοϊό και τη μετάδοσή του, κάτι που πλέον είναι κοινώς παραδεκτό.
Ωστόσο, το mRNA των εμβολίων μεταφέρει στα κύτταρα οδηγίες για την κατασκευή της τοξικής πρωτεΐνης ακίδας του κορωνοϊού. Όταν τα κύτταρα αρχίζουν να παράγουν αυτήν την πρωτεΐνη, το ανοσοποιητικό μας την αναγνωρίζει ως ξένο, εχθρικό σώμα και τα φονικά Τ-λεμφοκύτταρα ενεργοποιούνται για να καταστρέψουν τα κύτταρα που την παράγουν.
Η απόδειξη ότι τα γενετικά σκευάσματα κατά της COVID-19 προκαλούν πράγματι αυτήν την επικίνδυνη αντίδραση του ανοσοποιητικού σε όσους τα λαμβάνουν, έρχεται με τα ευρήματα των ιστοπαθολογικών εξετάσεων που πραγματοποίησε ο Δρ Arne Burkhardt, σε ασθενείς που απεβίωσαν μετά από τον εμβολιασμό τους, στο Ινστιτούτο Ιατροδικαστικής και το Ινστιτούτο Παθολογίας.
Οι μεταθανάτιες εξετάσεις έδειξαν χαρακτηριστικές αλλοιώσεις σε όργανα και ιστούς των ασθενών, οι οποίες προκλήθηκαν από μαζική επίθεση των Τ-λεμφοκυττάρων. Οι αλλοιώσεις αυτές συνέβησαν όσο τα άτομα ήταν εν ζωή και όχι μετά τον θάνατό τους και δεν είναι αποτέλεσμα μακρόχρονης νοσηλείας των θανόντων σε ΜΕΘ. Το πιο σημαντικό όμως, είναι ότι αυτές οι μαζικές επιθέσεις των Τ-λεμφοκυττάρων συνέβησαν ταυτόχρονα σε πολλά διαφορετικά όργανα, ένα φαινόμενο που δεν έχει παρατηρηθεί ποτέ ξανά στα ιατρικά χρονικά και γι’ αυτό δεν υπάρχει περιγραφή του στα ιατρικά εγχειρίδια. Συνεπώς, η μόνη λογική ερμηνεία, είναι ότι η αιτία αυτών των βλαβών είναι ο προηγούμενος εμβολιασμός των θανόντων με τα γενετικά σκευάσματα κατά της COVID-19.
Τα ευρήματα των νεκροψιών του Dr Burkhardt είναι η απόδειξη ότι όλες αυτές οι παρενέργειες που αναφέρονται μετά τον εμβολιασμό, και οι θάνατοι που προκαλούνται εξαιτίας τους, έχουν πράγματι την αιτία τους στη δράση του mRNA των εμβολίων. Μετά τη δημοσίευση αυτών των ευρημάτων, κανείς ευσυνείδητος γιατρός ή νοσηλευτής δεν δικαιολογείται να συνεχίζει αμέριμνα τους εμβολιασμούς, “πιστεύοντας” ότι κάνει κάτι καλό για τους ασθενείς του. Ο ιατρικός κόσμος οφείλει να ενημερωθεί και να πάρει θέση, αλλιώς θα βρεθεί υπόλογος για το μεγαλύτερο έγκλημα που έχει διαπραχθεί ποτέ στην ιστορία της ανθρωπότητας!
Ολόκληρο το συμπόσιο των Doctors for COVID Ethics μπορείτε να το παρακολουθήσετε εδώ: https://www.ukcolumn.org/video/doctors-for-covid-ethics-an-interdisciplinary-symposium-ii-sounding-the-call
Keywords
FREE email alerts of the most important BANNED videos in the world
Get FREE email alerts of the most important BANNED videos in the world that are usually blacklisted by YouTube, Facebook, Google, Twitter and Vimeo. Watch documentaries the techno-fascists don't want you to know even exist. Join the free Brighteon email newsletter. Unsubscribe at any time. 100% privacy protected.
Your privacy is protected. Subscription confirmation required.





